Anuncio

Los principales hallazgos histopatológicos en salmones con piscirickettsiosis

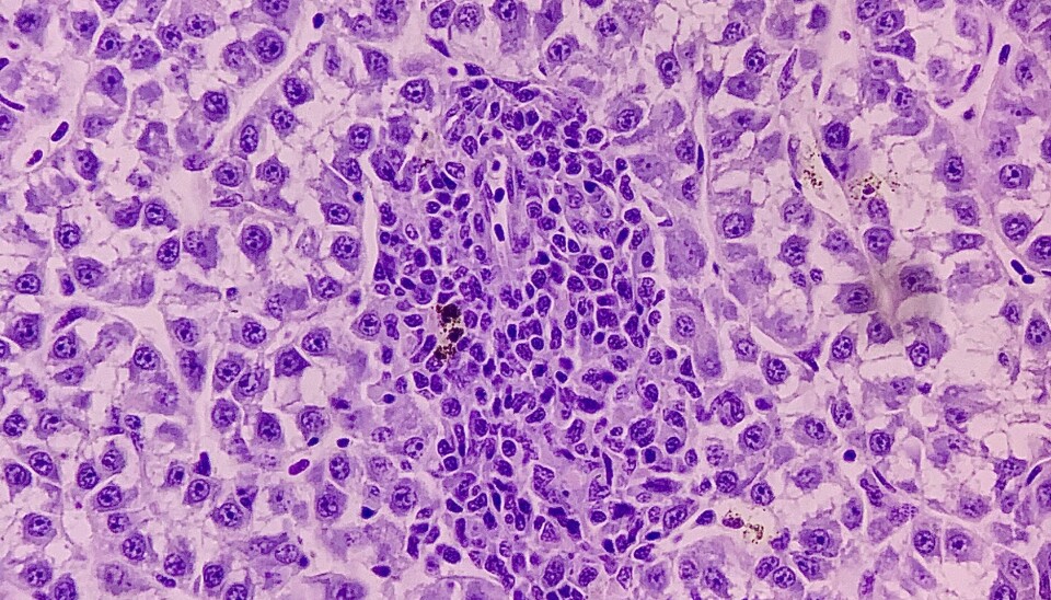
Infiltrado inflamatorio en tejido hético de salmón del Atlántico (H&E, 40X).

En salmones del Atlántico infectados experimentalmente con cepas LF-89 y EM-90, las lesiones y cambios histológicos más frecuentes en hígado, bazo y riñón, fueron las lesiones inflamatorias y hemorrágicas.

Published

En un nuevo estudio publicado en la última edición de revista Salmonexpert, científicos chilenos de la Universidad San Sebastián y la Universidad Austral de Chile describieron en detalle los principales hallazgos histopatológicos en órganos de salmones del Atlántico infectados experimentalmente con dos cepas de Piscirickettsia salmonis.

Específicamente, evaluaron las lesiones y cambios histológicos inducidos por las cepas LF-89 y EM-90 en hígado, bazo y riñón, para obtener una mejor comprensión de la patogenicidad y el impacto de las variantes genéticas de P. salmonis en la salud de los peces.

Analizando los cambios en estos órganos, los investigadores determinaron mediante histoscore que para los peces infectados con la cepa LF-89, el 90% de las muestras de riñón presentaron lesiones hemorrágicas. 

Por su parte para la cepa EM-90, se observaron lesiones hemorrágicas en el 85% de las muestras de bazo y en el 90% de las de riñón, y lesiones inflamatorias en el 60% de las muestras de hígado.

“En ambas cepas analizadas hubo significancia estadística en los hallazgos histopatológicos al analizar el score de lesiones hemorrágicas, inflamatorias y necróticas de hígado, bazo y riñón, siendo las lesiones inflamatorias y hemorrágicas las más frecuente”, declararon los autores.

Más en detalle, dentro de las lesiones histopatológicas más frecuentes observadas en órganos de peces infectados con ambas cepas de P. salmonis, en hígado, por ejemplo, se observaron áreas de necrosis focal y difusa, infiltración inflamatoria y hemosiderosis. En bazo, se encontraron cambios inflamatorios, como hemosiderosis y formación de focos inflamatorios linfoide. Además, se identificaron lesiones en el riñón, tales como melano-macrófago, infiltración de hemosiderina, congestión y formación de granulomas.

Lea el artículo “Hallazgos histopatológicos en órganos de salmón del Atlántico infectados experimentalmente con dos cepas de Piscirickettsia salmonis”, de los autores L. Asencio, F. Vera y A. Romero, en revista Salmonexpert páginas 42-47.