Biomarcadores proteicos: Avances en la detección temprana de HSMI en salmón del Atlántico

Un estudio destaca el potencial de biomarcadores proteicos plasmáticos para diagnosticar de forma temprana la inflamación del músculo esquelético y cardíaco (HSMI)
Un estudio realizado por el Norwegian Veterinary Institute y Oslo University (Noruega), plasmó la importancia que pudiesen tener los biomarcadores proteicos en cuantificar el desarrollo de una enfermedad. Si bien en medicina humana ya se ocupan este tipo de análisis los cuales han aportado en gran parte al diagnóstico, en salud de peces aún se encuentra en fase preliminar, sin embargo, se han realizado algunos avances en temáticas de proteómica no dirigida, los cuales marcan avances en temáticas de salud de peces al identificar marcadores proteicos clave para el diagnóstico.
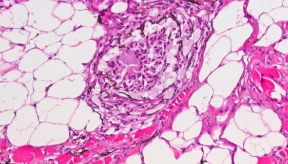
Los científicos noruegos identificaron el posible potencial que tienen ciertos biomarcadores plasmáticos de salmón del Atlántico para la detección temprana de la enfermedad del músculo esquelético y cardiaco (HSMI) causada por Piscine orthoreovirus-1 (PRV-1), esta patología es muy prevalente afectando la producción y el bienestar animal en los planteles productivos.
Para este estudio, se tomaron muestras de plasma sanguíneo de un grupo de peces autoinfectados con PRV-1, y otro grupo correspondiente a controles. Para esto, se utilizó la técnica de espectrometría de masas basada en proteómica, donde posteriormente, las proteínas fueron analizadas bajo modelos bioestadísticos a lo largo que del curso de la enfermedad.
Se reconocieron 4 proteínas plasmáticas como posibles biomarcadores:
• Proteína de unión a galectina-3: Aumenta su expresión en peces infectados y desempeña un papel en la respuesta inmunitaria y la inflamación.
• Fucolectina-6: Interviene en la respuesta inmune innata evidenciando disminución en peces infectados.
• Receptor 3 Rianodina: Indica daño muscular por desregulación del calcio.
• Receptor de superficie del activador del plasminógeno uroquinasa: Se encuentra vinculada a procesos inflamatorios.
LandbasedAQ
-
Benchmark está lista para continuar su operación sin complicaciones tras venta
-
Aquabounty cierra el último de sus centros de salmón y su CEO decide dar un paso al costado
-
65 mil smolts se escaparon: inician investigación para encontrar las razones
-
Chileno asume gerencia general de Benchmark Genetics Salten
-
“El salmón juega un papel fundamental en la identidad de Puerto Montt”
-
Valor agregado: “será la exportación de tecnología, biotecnología y servicios acuícolas”
Durante la progresión de la enfermedad en la semana 5 de infección temprana, la replicación viral en las células sanguíneas provocó cambios en el metabolismo lipídico y una regulación negativa de las apolipoproteínas (ApoB100), alterando los perfiles lipídicos sanguíneos.
Por otro lado, durante la fase establecida de la enfermedad en la semana 8, las proteínas vinculadas al daño muscular y la activación inmunitaria (Creatina quinasa e histonas) se alteraron significativamente, lo cual se correlaciona con HSMI mencionaron los investigadores.
En conclusión, el estudio subraya el valor de los enfoques proteómicos en la acuicultura para el diagnóstico de enfermedades al identificar biomarcadores plasmáticos como Galectina-3 (Gal-3BP), estos avances allanan el camino para la detección e intervención oportuna en las infecciones producidas por PRV-1 en salmón del Atlántico.
Lea el abstract “ Potential plasma biomarkers for the onset of heart and skeletal muscle inflammation from Piscine orthoreovirus-1 infection in Atlantic salmon (Salmo salar)” aquí.