Nuevos hallazgos sobre PRV podrían ayudar al desarrollo de futuras vacunas
Noruega: Científicos analizaron las respuestas inmunes de salmónidos frente a genotipos PRV-1, PRV-2 y PRV-3, identificando diferencias en respuestas antivirales y su relación con distintas patologías.
Hay tres genotipos del virus, PRV-1, PRV-2 y PRV-3, que demuestran una diseminación sistémica similar pero diferente patogenicidad en diferentes especies de salmónidos. No obstante, todos infectan y se replican en eritrocitos de los peces en la fase temprana de la infección.
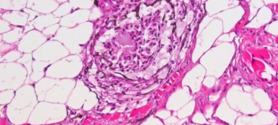
PRV-1 es el agente causal de la Inflamación del Músculo Esquelético y Cardíaco (HSMI) en el salmón del Atlántico, PRV-2 causa el síndrome de cuerpos de inclusión eritrocítico (EIBS) en el salmón coho, mientras que PRV-3 induce una enfermedad similar a HSMI en la trucha arcoíris, y ha sido asociado al síndrome ictérico del salmón coho y también a enfermedad subclínica en salmón del Atlántico.
Para entender más en profundidad al agente etiológico y las distintas enfermedades en las diferentes especies, y, así poder desarrollar vacunas u otras alternativas de control efectivas, científicos noruegos realizaron un estudio en donde investigaron las respuestas transcripcionales en células sanguíneas de salmón del Atlántico dos y cinco semanas después de la infección con PRV-1, PRV-2, PRV-3, o después de la inyección con la vacuna inactivada para PRV-1.
Los expertos también se enfocaron en evaluar los factores que pueden estar involucrados en la protección cruzada mediada por PRV-3, pero no por PRV-2, y en las respuestas tempranas que pueden explicar por qué la infección por PRV-1 conduce a un resultado patológico en salmón del Atlántico, mientras que PRV-3 no produce enfermedad.
En sus resultados, los científicos pudieron determinar que PRV-1 y PRV-3 se replicaron bien en células sanguíneas del salmón del Atlántico, y ambos indujeron las respuestas antivirales innatas típicas desencadenadas por virus ARNdh.
Así, dos semanas después de la infección, PRV-3 desencadenó respuestas antivirales más fuertes que PRV-1, a pesar de sus niveles similares de replicación de ARN viral, no obstante, después de cinco semanas las respuestas inducidas por ambos genotipos fueron casi iguales.
Por su parte, PRV-2 y la vacuna contra PRV-1 no desencadenaron las mismas respuestas antivirales típicas que los genotipos PRV-1 y PRV-3, pero indujeron genes involucrados en el tráfico de membrana y vías de señalización que pueden regular funciones fisiológicas.
LandbasedAQ
-
Benchmark está lista para continuar su operación sin complicaciones tras venta
-
Aquabounty cierra el último de sus centros de salmón y su CEO decide dar un paso al costado
-
65 mil smolts se escaparon: inician investigación para encontrar las razones
-
Chileno asume gerencia general de Benchmark Genetics Salten
-
“El salmón juega un papel fundamental en la identidad de Puerto Montt”
-
Valor agregado: “será la exportación de tecnología, biotecnología y servicios acuícolas”
“Este estudio transcripcional demostró que el PRV-3, un genotipo de PRV con protección cruzada que no causa HSMI en el salmón del Atlántico, desencadenó potentes respuestas antivirales innatas durante la replicación temprana en las células sanguíneas. En comparación, el PRV-1 desencadenó una respuesta antiviral retardada pero similar. Esta diferencia en el momento de la respuesta antiviral puede proporcionar una ventaja evolutiva para el PRV-1, permitiéndole diseminarse e infectar el corazón del salmón del Atlántico, un prerrequisito para la aparición de HSMI”, detallaron los científicos.
Según expusieron los autores, estos hallazgos proponen que la protección mediada por PRV-3 contra una infección secundaria por PRV-1 “ocurre debido a una activación potente y temprana del mismo tipo de respuestas inmunes innatas. La diferencia en el momento de las respuestas antivirales puede dar al PRV-1 una ventaja evolutiva, facilitando su diseminación al corazón del salmón del Atlántico, un paso crítico para el desarrollo de HSMI”.
Lea el estudio completo titulado “Comparison of transcriptome responses in blood cells of Atlantic salmon infected by three genotypes of Piscine orthoreovirus”, aquí.