PRV-1b y PRV-3a se asociarían con la misma enfermedad en salmón coho

Un estudio realizado por el laboratorio Pathovet confirmó que las infecciones por PRV-1b y PRV-3a se asocian con manifestaciones clínicas y patológicas similares en salmón coho de cultivo chileno.
En el mundo se han descrito tres subtipos de PRV. El PRV-1 se asocia con HSMI en el salmón del Atlántico, y hematocrito reducido en el salmón chinook y salmón coho. El PRV-2 se asocia con el síndrome de cuerpos de inclusión eritrocíticos (EIBS) en el salmón coho cultivado en Japón. Finalmente, el PRV-3 está asociado con una enfermedad similar a HSMI con anemia en la trucha arcoíris, trucha marrón y salmón coho.
Específicamente, en salmón coho cultivado en Chile, PRV-1 y PRV-3 han sido descritos en peces con una enfermedad similar a HSMI y/o síndrome ictérico. No obstante, análisis filogenéticos muestran dos grupos de PRV en esta especie, lo que indica que podrían ser capaces de albergar dos subgrupos de PRV de forma simultánea.
Adicionalmente, también se han descrito variantes de dentro de los subtipos, como PRV-1b y PRV-3a. Debido a la importancia productiva y económica que ha alcanzado el salmón coho en nuestro país, un grupo de científicos del laboratorio Pathovet realizaron un estudio con el objetivo de describir comparativamente las manifestaciones clínicas, cambios patológicos y patogénesis asociada con la infección por dos subtipos diferentes de PRV en dos centros de cultivo distintos.
Misma enfermedad
Los resultados del estudio observacional descriptivo longitudinal prospectivo mostraron que PRV-1b y PRV-3a se asocian independientemente con la misma presentación clínica y patológica en el salmón coho de cultivo que los investigadores denominaron "Cardiomiopatia e Icterisia Hemolítica Orthoreoviral (OCHJ)".
“Los resultados de este estudio sugieren una fuerte asociación entre la infección por ambos subgrupos de PRV y la enfermedad específica OCHJ en salmón coho de cultivo en Chile, pero también permitiría la especulación de que la manifestación clínica de las infecciones por PRV puede requerir cofactores intrínsecamente relacionados con el cultivo intensivo de salmónidos derivados del manejo de la producción y/o eventos ambientales”, señalaron al respecto los autores.
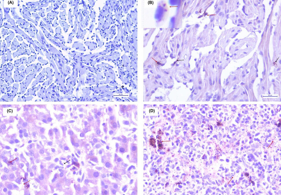
Por ejemplo, la patología microscópica de la enfermedad asociada con PRV-1b y PRV-3a se caracterizó principalmente por hallazgos degenerativos e inflamatorios en el corazón y el hígado.
Por otro lado, los biomarcadores hematológicos y de bioquímica sanguínea mostraron alteraciones como anemia hemolítica e ictericia prehepática.
LandbasedAQ
-
Benchmark está lista para continuar su operación sin complicaciones tras venta
-
Aquabounty cierra el último de sus centros de salmón y su CEO decide dar un paso al costado
-
65 mil smolts se escaparon: inician investigación para encontrar las razones
-
Chileno asume gerencia general de Benchmark Genetics Salten
-
“El salmón juega un papel fundamental en la identidad de Puerto Montt”
-
Valor agregado: “será la exportación de tecnología, biotecnología y servicios acuícolas”
“La patogenia de la infección asociada tanto con PRV-1b como con PRV-3a indicaría un tropismo específico por los eritrocitos y cardiomiocitos del miocardio esponjoso. Cabe destacar que a pesar de una notable reducción de la carga viral de ambos subgrupos de PRV en los tejidos, la frecuencia de lesiones macroscópicas aumentó durante la fase final del estudio”, explicaron los investigadores.
Finalmente, como conclusión, los expertos indicaron que se necesitan investigaciones adicionales sobre la patogenia y la vigilancia de los subgrupos PRV-1b y PRV-3a para desarrollar estrategias efectivas para el control de la OCHJ en el salmón coho de cultivo.
Lea el estudio completo titulado “PRV-1b and PRV-3a infection is associated with the same clinical disease in coho salmon (Oncorhynchus kisutch) farmed in Chile: unraveling the pathogenesis of the orthoreoviral cardiomyopathy and hemolytic jaundice (OCHJ)”, aquí.